Refraktäres ARDS bei einem jungen Patienten

Ein junger Patient mit schwerer Lungenentzündung verschlechtert sich trotz leitliniengerechter Therapie rapide. Da das ARDS fortschreitet und die Laborwerte von den Erwartungen abweichen, sind die Ärzte gezwungen, ihre ursprüngliche Diagnose aufzugeben.

Fallpräsentation

Daniel K. ist ein 19-jähriger Mann, der in ein Sekundärkrankenhaus in Süddeutschland eingeliefert wird. Er stellt sich zunächst spät abends mit Bauchschmerzen, Erbrechen und Fieber in einer peripheren Notaufnahme vor. Eine Ultraschalluntersuchung des Abdomens zeigt keine akuten Auffälligkeiten, und er wird mit einer symptomatischen Behandlung und der Verdachtsdiagnose einer viralen Gastroenteritis nach Hause entlassen.

Eine Woche später kehrt Daniel in die Notaufnahme zurück. Diesmal hat sich das Krankheitsbild deutlich verändert. Er berichtet über anhaltendes Fieber, , zunehmende und linksseitige pleuritische Brustschmerzen in Verbindung mit produktivem Husten und geringfügiger Hämoptyse. Bei der Untersuchung wirkt er akut erkrankt und dyspnoisch.

Daniel wurde in Burkina Faso (Westafrika) geboren und lebt seit seiner frühen Kindheit in Deutschland. Zwei Wochen vor seiner Einweisung war er von einer Reise nach Westafrika zurückgekehrt. Seine Krankengeschichte ist weitgehend unauffällig. Er erinnert sich an wiederkehrende Nasenbluten in seiner Kindheit und berichtet von einem leichten einseitigen Hörverlust, aber er wurde nie mit einer chronischen Erkrankung diagnostiziert und nimmt keine regelmäßigen Medikamente ein. Ein Großvater hatte vor vielen Jahren Tuberkulose. Er arbeitet als Hilfsarbeiter in einer Zementfabrik.

Bei Aufnahme zeigen sich (38,4 °C), Tachykardie sowie eine Hypoxämie unter Raumluft. Die arterielle Blutgasanalyse bei Raumluft zeigt eine hypoxämische Ateminsuffizienz mit respiratorischer Alkalose (pO₂ 57 mmHg, pCO₂ 28 mmHg). Die ersten Laboruntersuchungen geben sofort Anlass zur Sorge: Die Anzahl der weißen Blutkörperchen ist stark reduziert (530/µL), das C-reaktive Protein ist deutlich erhöht (241 mg/L) und das Serumkreatinin ist erhöht (2,38 mg/dL), was mit einem akuten Nierenversagen übereinstimmt. Angesichts der kürzlichen Reise nach Westafrika wurde aktiv auf Malaria untersucht. Sowohl periphere Blutausstriche als auch Antigen-Schnelltests waren negativ. Der Patient gab außerdem an, während seiner Reise eine Malariaprophylaxe eingenommen zu haben.

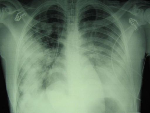
Eine Röntgenaufnahme des Brustkorbs zeigt ausgedehnte beidseitige Lungenverschattungen, die auf der rechten Seite stärker ausgeprägt sind, mit einem gemischten parenchymalen und pleuralen Muster. Vor dem Hintergrund von Fieber, Atemwegsbeschwerden und radiologischen Befunden wird die Diagnose einer schweren ambulant erworbenen Lungenentzündung gestellt. Es wird mit der intravenösen Gabe von Levofloxacin begonnen und über eine Venturi-Maske wird zusätzlicher Sauerstoff verabreicht.

ARDS_1.png

Die bei der Vorstellung durchgeführte Röntgenaufnahme des Brustkorbs zeigte beidseitige Lungeninfiltrate, die zunächst mit einer schweren ambulant erworbenen Lungenentzündung vereinbar waren.1

Früher klinischer Verlauf und Eskalation der Behandlung

In den folgenden Stunden verschlechtert sich Daniels Atemstatus. Trotz verstärkter Sauerstoffzufuhr kommt es zu einer zunehmenden Tachypnoe und Hypoxämie. Eine wiederholte arterielle Blutgasanalyse bei FiO₂ 0,5 zeigt eine anhaltende Hypoxämie, und der Hämoglobinspiegel sinkt von 15,5 g/dl auf 12,6 g/dl. Er wird über Nacht in die internistische Abteilung eines Überweisungskrankenhauses verlegt, wo er bei der Übergabe als „klinisch stabil, aber engmaschig zu überwachen“ beschrieben wird.

Am nächsten Morgen ist offensichtlich, dass sich die Situation rapide verschlechtert. Daniel ist tachykardisch, tachypnoisch und zunehmend hypoxämisch. Die Auskultation der Lunge zeigt diffuse beidseitige Rasselgeräusche. Die Untersuchung des Abdomens zeigt eine leichte Druckempfindlichkeit in der linken Flanke und der Fossa iliaca ohne peritoneale Symptome.

Wiederholte Labortests bestätigen eine anhaltende Leukopenie, sich verschlechternde Entzündungsmarker und eine anhaltende Nierenfunktionsstörung. Das Team für Infektionskrankheiten wird hinzugezogen und eine umfassende mikrobiologische Untersuchung eingeleitet, einschließlich wiederholter Blutkulturen, Urinantigenen für Streptococcus pneumoniae und Legionella pneumophila, respiratorischer Virustests (einschließlich Influenza A/H1N1), HIV-Serologie, Malaria-Ausstrich und Schnelltest sowie mykobakteriellen Untersuchungen.

Die empirische antimikrobielle Therapie wird unter Einhaltung einer für kritisch kranke Patienten geeigneten Deeskalationsstrategie auf Vancomycin, Piperacillin/Tazobactam, Levofloxacin und Oseltamivir ausgeweitet.

Innerhalb weniger Stunden verschlechtert sich Daniels Zustand weiter. Er entwickelt eine schwere hypoxämische Ateminsuffizienz und wird auf die Intensivstation verlegt. Trotz nicht-invasiver Beatmung mit hohem FiO₂-Wert verschlechtert sich der Gasaustausch weiter. Er benötigt eine endotracheale Intubation, eine vasopressive Unterstützung mit Noradrenalin und eine invasive Überwachung.

Die Bildgebung des Brustkorbs zeigt nun eine fast vollständige beidseitige Trübung der Lunge. Die Echokardiographie zeigt eine globale Hypokinesie, die im rechten Ventrikel stärker ausgeprägt ist, ohne Anzeichen einer Endokarditis.

ARDS_2.png

Brust-CT während des Aufenthalts auf der Intensivstation zeigt diffuse beidseitige milchglasartige Trübungen und Verdichtungen, die mit schwerem ARDS vereinbar sind.1

Laborbefunde und zunehmende diagnostische Unsicherheit

In den folgenden Tagen auf der Intensivstation bleibt Daniels klinischer Verlauf kritisch. Mehrere Merkmale ziehen zunehmend die Aufmerksamkeit des behandelnden Teams auf sich.

Trotz unterstützender Maßnahmen hält die Leukopenie an, was eine hämatologische Konsultation und eine Knochenmarkpunktion erforderlich macht, die eher auf ein reaktives dysplastisches Muster als auf eine primäre hämatologische Erkrankung hindeuten. Die Laktatdehydrogenase (LDH)-Werte steigen stetig an und überschreiten 1.500 U/L. Die Entzündungsmarker bleiben erhöht, und der Gasaustausch ist trotz lungenschonender Beatmung, Pronation und inhaliertem Stickstoffmonoxid weiterhin stark beeinträchtigt.

Die mikrobiologischen Untersuchungen liefern weiterhin nur begrenzte Ergebnisse. Die Blutkulturen bleiben negativ. Die bronchoalveolären Proben sind negativ für Bakterien, Mykobakterien und häufige Atemwegsviren. Der HIV-Test wird wiederholt und bleibt negativ. Ein Urin-Antigentest ist positiv für Streptococcus pneumoniae, aber dieser isolierte Befund erklärt nicht überzeugend die Geschwindigkeit, Schwere und Refraktärität des klinischen Verlaufs.

Trotz einer leitlinienbasierten antimikrobiellen Therapie und maximalen unterstützenden Maßnahmen zeigt Daniel keine bedeutende Besserung. Aufgrund des refraktären ARDS benötigt er schließlich eine veno-venöse ECMO.

Zu diesem Zeitpunkt erklärt das ursprüngliche Rahmenkonzept einer schweren bakteriellen Pneumonie nicht mehr den gesamten Krankheitsverlauf.

Welche Verdachtsdiagnose haben Sie, wenn Sie die Fallbeschreibung genauer betrachten? 

Gerne können Sie dies in der Kommentarfunktion diskutieren. 

Finden Sie heraus, ob Sie richtig lagen

Richtige Antwort: D. Opportunistische Infektion, die im Zusammenhang mit einer funktionellen Immunsuppression auftritt.

Zu dem Zeitpunkt, als Daniel eine ECMO-Unterstützung benötigt, weicht seine Erkrankung deutlich vom erwarteten Verlauf selbst einer schweren ambulant erworbenen Lungenentzündung ab. Die Kombination aus refraktärem ARDS, anhaltender Leukopenie, progressivem Anstieg der LDH-Werte und fehlendem Ansprechen auf eine leitliniengerechte antimikrobielle Therapie lässt stark vermuten, dass das klinische Bild nicht allein durch eine bakterielle Infektion erklärt werden kann.

Der LDH-Anstieg ist in diesem Zusammenhang ein besonders relevantes Signal. Er ist zwar unspezifisch, steht jedoch häufig im Zusammenhang mit diffusen Alveolarschäden und opportunistischen Infektionen, insbesondere wenn er parallel zur Ateminsuffizienz progressiv ansteigt. Die anhaltende Knochenmarksuppression untermauert zusätzlich das Vorliegen einer beeinträchtigten Abwehrfunktion des Wirts.

Obwohl Daniel keine bekannte Immunschwäche in der Anamnese hat und wiederholte HIV-Tests negativ sind, kann eine kritische Erkrankung selbst einen Zustand funktioneller Immunsuppression hervorrufen. Schwere Infektionen, systemische Entzündungen, ein längerer Aufenthalt auf der Intensivstation, die Exposition gegenüber Kortikosteroiden und Knochenmarkfunktionsstörungen können die Immunantwort selbst bei zuvor gesunden Personen tiefgreifend verändern.

Es ist wichtig, diese Veränderung im klinischen Rahmen zu erkennen. In solchen Fällen kann die strikte Einhaltung richtlinienbasierter Algorithmen die Erkennung alternativer Ätiologien verzögern. Opportunistische Infektionen – darunter Pneumocystis jirovecii, invasive Pilzerkrankungen, parasitäre Hyperinfektionssyndrome oder virale Reaktivierungen – werden zu plausiblen Erklärungen und können empirische, nicht konventionelle Behandlungsstrategien rechtfertigen, während weitere diagnostische Abklärungen abgewartet werden.

Wichtig ist, dass diese Argumentation nicht von einem einzigen diagnostischen Test abhängt, sondern vom Krankheitsverlauf, der Häufung widersprüchlicher klinischer und labortechnischer Befunde und dem Versagen konventioneller Behandlungsmethoden.

ARDS_3.png

Die nachfolgende Thorax-CT-Untersuchung zeigt eine teilweise radiologische Besserung nach einer gezielten nicht-konventionellen Therapie.

Endgültige Diagnose und klinischer Verlauf

Da die Diagnostik angesichts des refraktären Verlaufs des Patienten weiter ausgebaut wurde, ergab sich schließlich eine einheitliche Erklärung. Angesichts der westafrikanischen Herkunft von Daniel, der frühen gastrointestinalen Symptome vor dem Atemversagen und des raschen Fortschreitens zu einem schweren ARDS wurde die Suche nach atypischen und parasitären Erregern intensiviert.

Es wurden eine Stuhlmikroskopie und eine erneute bronchoalveoläre Lavage durchgeführt. Die Analyse der BAL-Flüssigkeit ergab schließlich filariforme Larven von Strongyloides stercoralis, was die Diagnose eines Strongyloides-Hyperinfektionssyndroms bestätigte.

Trotz der sofortigen Einleitung einer enteralen Ivermectin-Therapie in diesem fortgeschrittenen Stadium des Multiorganversagens blieb Daniels klinischer Zustand refraktär. Sein Verlauf wurde durch eine sekundäre gramnegative Stäbchenbakteriämie weiter kompliziert – ein klassisches Kennzeichen einer Hyperinfektion, die durch die Translokation von Larven aus dem Darm verursacht wird, wodurch eine systemische bakterielle Ausbreitung begünstigt wird. Es kam zu einem fortschreitenden septischen Schock, und trotz maximaler unterstützender Maßnahmen verstarb der Patient am 12. Tag auf der Intensivstation.

Kommentar von Experten nach dem Fall

Der Fall von Daniel K. ist eine ernüchternde Erinnerung daran, dass in Zeiten globaler Migration „latent” nicht gleichbedeutend mit „nicht vorhanden” ist. Strongyloides stercoralis kann durch Autoinfektionszyklen jahrzehntelang im menschlichen Wirt überleben und bleibt dabei oft klinisch unbemerkt.

Wenn das empfindliche Gleichgewicht zwischen Wirt und Parasit gestört wird – durch eine kritische Erkrankung, eine nicht erkannte Immunsuppression oder sogar eine kurze Kortikosteroidbehandlung – kann es zu einer massiven Larvenmigration kommen, die zu einer disseminierten Infektion und einem katastrophalen Organversagen führt.

Eine der wichtigsten diagnostischen Fallstricke in diesem Fall war das positive Streptococcus pneumoniae-Antigen im Urin. Beim Hyperinfektionssyndrom können wandernde Larven auf ihrer äußeren Kutikula oder in ihrem Verdauungstrakt Darmbakterien mit sich führen, während sie vom Darm in die Lunge wandern. Die daraus resultierende Bakteriämie kann daher ein sekundäres Phänomen darstellen, das den zugrunde liegenden parasitären Prozess verschleiert.

Dieser Mechanismus unterstreicht das Risiko einer Verankerungsverzerrung: Die Identifizierung eines häufigen bakteriellen Erregers schließt eine komplexere und gefährlichere Ätiologie nicht aus, insbesondere wenn der klinische Verlauf – gekennzeichnet durch steigende LDH-Werte, anhaltende Leukopenie und fortschreitendes Multiorganversagen – vom erwarteten Verlauf einer ambulant erworbenen Lungenentzündung abweicht.

Wichtige Lernziele

Erkennen der Darm-Lungen-Achse

Bei Patienten mit epidemiologischer Exposition gegenüber Endemiegebieten sollten abdominale Symptome, gefolgt von einem schnell fortschreitenden ARDS, den Verdacht auf eine Strongyloides-Infektion wecken.

Interpretieren von LDH im klinischen Kontext

Ein progressiver Anstieg der LDH-Werte bei ARDS spiegelt eine schwere Parenchymschädigung wider und sollte zur Berücksichtigung opportunistischer, parasitärer oder nicht-bakterieller Ursachen veranlassen.

Funktionelle Immunsuppression verstehen

Eine kritische Erkrankung selbst führt zu einer Immunlähmung. In diesem Zusammenhang können latente Infektionen reaktiviert werden und sich zu fulminanten, disseminierten Syndromen entwickeln, selbst bei zuvor gesunden, HIV-negativen Personen.

Quellen:
  1. Cristini F. “Overview of the risk of infection from IFI in critically ill patients.” Policlinico S.Orsola-Malpighi Bologna (Italy).
  2. Krolewiecki A, Nutman TB. Strongyloidiasis: A Neglected Tropical Disease. Infect Dis Clin North Am. 2019 Mar;33(1):135-151. doi: 10.1016/j.idc.2018.10.006. PMID: 30712758; PMCID: PMC6367705.
  3. Keiser PB, Nutman TB. Strongyloides stercoralis in the Immunocompromised Population. Clin Microbiol Rev. 2004 Jan;17(1):208-17. doi: 10.1128/CMR.17.1.208-217.2004. PMID: 14726461; PMCID: PMC321465.
  4. Fardet L, Généreau T, Cabane J, Kettaneh A. Severe strongyloidiasis in corticosteroid-treated patients. Clin Microbiol Infect. 2006 Oct;12(10):945-7. doi: 10.1111/j.1469-0691.2006.01443.x. PMID: 16961629.
  5. Papazian L, Calfee CS, Chiumello D, Luyt CE, Meyer NJ, Sekiguchi H, Matthay MA, Meduri GU. Diagnostic workup for ARDS patients. Intensive Care Med. 2016 May;42(5):674-685. doi: 10.1007/s00134-016-4324-5. Epub 2016 Mar 23. PMID: 27007111; PMCID: PMC7080099.

Haben Sie eine Kasuistik, die Sie gerne teilen möchten?

Schicken Sie uns die Details Ihrer Kasuistik an content@esanum.de. Ihr Beitrag wird vor der Veröffentlichung von unseren Medizinern überprüft und die finale Version nur mit Ihrer Zustimmung veröffentlicht.